Thoracic Lymph Node Map app icon - Medical app for iPhone

Thoracic Lymph Node Map

Locate nodes on CT scans

RADIOLOGiQ, LLC

4.8
(25 ratings)
Medical Free iOS 16.6+

Description

Provides a color-coded reference for identifying stations on CT scans. It includes anatomic definitions, N-category information, and sampling options. Users can access mediastinal, low cervical, and hilar stations with clear localization guidance.

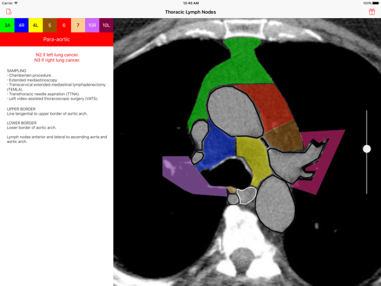
Thoracic Lymph Node Map is a clinical decision-support reference that streamlines the evaluation and localization of thoracic lymph node stations on CT. Adapted from the International Association for the Study of Lung Cancer (IASLC) lung cancer project, the app provides a clear, color-coded map of mediastinal, low cervical, and hilar lymph node stations with concise anatomic definitions, N-category information, and sampling options—right at the point of care. Version 4.0 has been rebuilt from the ground up and optimized for iOS 26, featuring a modern, responsive interface designed for radiologists, pulmonologists, oncologists, surgeons, and any health care professional interpreting chest imaging. The app is provided entirely free of charge, with no ads, no subscriptions, and no in-app purchases. --- Key Features IASLC Thoracic Lymph Node Map Integration • Color-coded map adapted from the IASLC lung cancer project • Clear station labels (1–14) with concise anatomic definitions CT-Based Station Overlays • Navigate representative axial CT images of the thorax • Visualize how each lymph node station relates to key mediastinal structures Station Detail Cards • N-category classification (N1/N2/N3) for every station • Common sampling options at a glance • Precise upper, lower, and lateral/anterior/posterior boundaries Common Issues Insights • High-yield clarifications for frequently confused stations • Guidance on distinguishing 4 vs 10, 1 vs 2/3, and more • Aid in aligning CT interpretation with IASLC definitions Enhanced Readability • Support for Dark Mode and Dynamic Type • Clean, distraction-free layout optimized for both iPhone and iPad Offline Access • All data available offline—no login, no network, no server required Requirements • iPhone or iPad running iOS / iPadOS 16.6 or later • Fully optimized for iOS 26 Pricing Thoracic Lymph Node Map is developed and maintained by radiologists. It is provided as a free resource for the medical community, with no advertisements and no subscription required. Medical Disclaimer: This app is for informational purposes only and is not a substitute for professional medical advice. In addition to using this app, always consult a qualified healthcare provider for diagnosis and treatment decisions. Privacy Policy: https://radiologiq.squarespace.com/privacy Terms of Use (EULA): https://www.apple.com/legal/internet-services/itunes/dev/stdeula/

App information from Apple App Store. Thoracic Lymph Node Map and related trademarks belong to RADIOLOGiQ, LLC.