<< Back to search results


Screenshots


Description - 12+

BETA app - Technology tool for precise surgical planning.

BETA Implants is leading with its vision of personalized surgery and has a wide catalogue the specific locking implants for trauma and orthopedic surgery for veterinary.
Following our service of direct technical assistance between our biomedical engineers and the surgeon, the BETA app is the digital planning solution development for planning your trauma and orthopaedic procedures with BETA implants: BETA app.
BETA App is a Virtual Surgical Planning tool that provides surgeons a solution designed to make surgery more predictable and efficient.
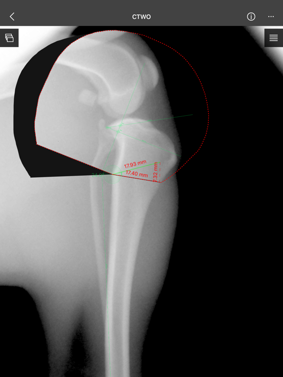
This is a useful tool for traumatology and orthopaedic surgical planning veterinary, including advanced techniques for treat canine anterior cruciate ligament (ACL) injuries (TPLO and CTWO).

Benefits of develop a surgical plan prior to entering the operating room, benefits of use BETA app:
· Allows the surgeon to make critical clinical decisions preoperatively.
· Simulation of the surgery and reconstruction anatomical.
· Improved accuracy and surgical outcomes 
· Reduced surgical time, benefiting both patients and surgeons.
· Preoperative visualization of the patient anatomy and condition.
· Facilitates communication between surgery team and client.
· Improved operating room efficiency.
· Comparison of preoperative plan and postoperative results.

BETA app features:

1. Crop image:
a) Take or open your rx in your iPhone or iPad and crop the image, and zoom it, rotate it to perfect orientation.

2. Image settings
b) Rescale the Rx.
c) Mirror the image, left or right limb/orientation.
d) Other adjusts: contrast, brigthless, grey scale, etc.

3. Tools:
a) Linear Measure.
b) Radial measure/Circle draw.
c) Angle measure/Triangle draw.
d) Free cut.
e) Wedge cut, CTWO and angular osteotomies.
f) Circular cut, TPLO.
g) Free Draw.

4. Catalogue of BETA Implants locking plates, in 2.0, 2.4, 2.7 and 3.5 sizes:
a) Multi-hole plates
b) Bridge plates
c) Distal radius plates
d) Diaphyseal femur plates
e) T plates
f) Ilium plates
g) Acetabular plates
h) Dorsal pancarpal arthodesis plates
i) Medial pancarpal arthodesis plates
j) Pantarsal arthodesis plates
k) Partial tarsal arthodesis plates
l) CTWO plates
m) TPLO plates
n) Maxilofacial plates
o) Locking screws

5. Share your results

6. Save in project

7. Experienced technical biomedical team
a) If you have any doubt, direct contact options with a knowledgeable support team to assist the virtual planning are include in the BETA app.

Vet surgeons around the world are seeing the benefits of the virtual surgical planning that BETA app provides, free download now and enjoy it.